现在由于电脑的普及,很多人脸上有痘痘出现,而且搔抓的话,会有剧烈的瘙痒感,可能是由于电脑发射出来的紫外线引起的吧,但也有其他的原因,下面我们就来了解下“脸上为什么会长痤疮”。

>>>点此在线咨询<<<
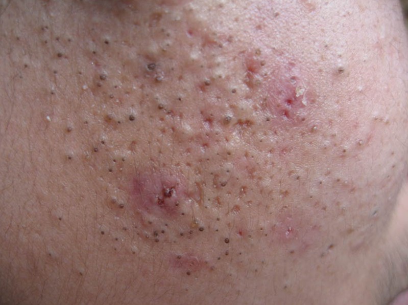
河南中都中医皮肤病医院医生介绍说,痤疮是一种比较常见的皮肤病,也是青春期多发的皮肤病,很多人们都患过该病,而且该病带来的影响力很大,不仅影响患者的身心健康,还会影响患者的形象,甚至也会影响到患者的正常生活,所以我们要注意痤疮,多了解痤疮,多了解引起痤疮的原因,才能好的避免痤疮。引起痤疮产生的原因大多是外界环境导致的,有药物因素、皮肤不洁、脸部油腻或者空气污染导致的,一旦接触到这些因素,患者脸上就会出现痘痘,使患者无法正常生活。
一旦患上痤疮,就要立即治疗,否则痤疮会给患者带来许多的伤害。河南中都中医皮肤病医院是一家正规的皮肤病医院,其治疗痤疮有多年的临床经验,也有许多治疗方法,医生会根据患者的具体病情制定出适合患者的疗法,这样患者也能早点消除痤疮带来的痛苦。
以上就是
河南中都中医皮肤病医院医生对“脸上为什么会长痤疮”的简单介绍,医生说,痤疮是一种普遍的皮肤疾病,因为出现在脸上,所以在用药时一定要慎重,以免留下伤疤。