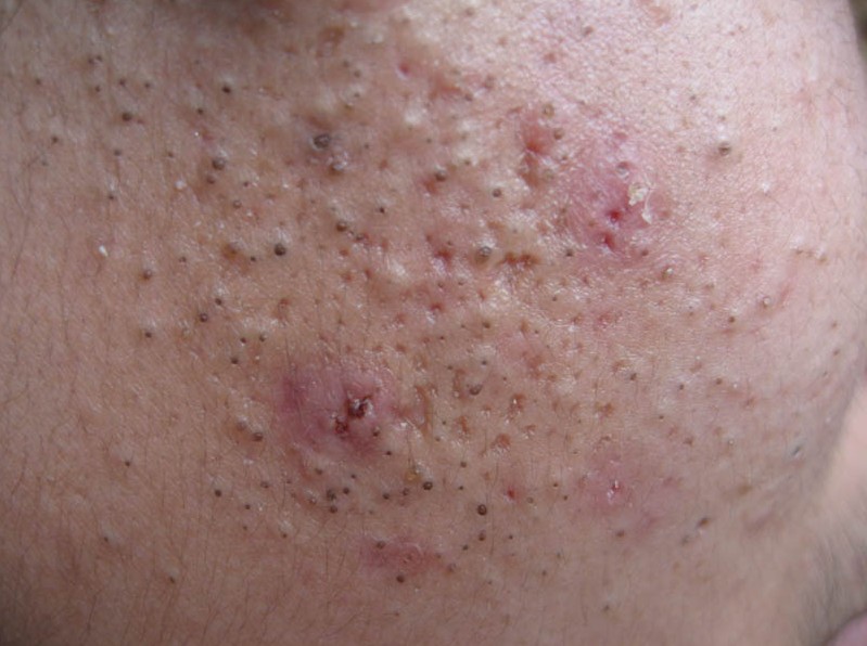
痤疮是青春期较为常见的皮肤病,很多青春期的男女都患过该病,其发病率很高,而且影响力也不小,所以我们要了解痤疮,了解痤疮的原因,这样对治疗痤疮有很大的好处。那么,长痤疮的原因有哪些?下面就由河南中都中医皮肤病医院的医生来告诉我们。

>>>点此在线咨询<<<
在日常生活引发痤疮的原因有很多,所以我们必须对症治疗,这样才能尽快摆脱痤疮的困扰。那长痤疮的原因有哪些?
心情:心情差会使皮肤变差,这我们都知道,但并不是只有心情差影响到皮肤,心情极度幸福也会影响到皮肤,使皮肤上出现痘痘。
饮食:长其吃煎炸、甜味和刺激性的食物,很有可能使你脸上出现粉刺、痘痘的,所以在饮食方面特别需要注意,多吃新鲜蔬菜水果等食物。
除以上原因外,还有内分泌因素,若果内分泌失调,很容易引发暗疮、黑头、脓疮出现,所以在日常生活一定要多注意生活习惯,防止病情继续发展下去。若发现痤疮的症状,就要立即到正规的医院就诊。
以上就是很难治的皮肤病医院的医生对于“长痤疮的原因有哪些”的介绍。痤疮虽然是很常见的皮肤病,但是其带来的影响不容小视,不仅影响身心健康,还影响形象,一定要重视,早点发现早点治疗。